Over deze behandeling
Wat we gaan doen
Wat is het?
Bij amelogenesis imperfecta is het tandglazuur zwak of dun. Daarom behandelen we niet alleen losse tanden, maar het hele gebit.
De behandeling verloopt in fases. Bij kinderen beschermen we de tanden en begeleiden we de groei. Tijdens de groei kan orthodontie nodig zijn om de stand van het gebit te verbeteren en ruimte te maken.
Pas wanneer de groei is afgerond, bekijken we of definitieve oplossingen zoals kronen of implantaten nodig zijn.
De behandeling wordt uitgevoerd door een multidisciplinair team van tandarts, orthodontist en kaakchirurg.
Hoe gaan we te werk?
Deze behandeling vindt plaats binnen het Expertisecentrum voor Zeldzame Orodentale Aandoeningen van het Erasmus MC. Hier werken tandartsen, orthodontisten en kaakchirurgen nauw samen. Door vaste evaluatiemomenten wordt de zorg zorgvuldig afgestemd op iedere levensfase.
Eerst onderzoeken we het gebit met foto’s, een mondscan en röntgenbeelden. Daarna bespreken we samen het behandelplan.
De behandeling is levensloopgericht. Op vaste momenten (bijvoorbeeld rond 6, 9, 12 en 17 jaar) beoordelen we de groei, slijtage en stand van de tanden.
Orthodontie speelt vaak een belangrijke rol. Hiermee zorgen we voor een stabiele beet en bereiden we het gebit voor op een duurzame oplossing op volwassen leeftijd.
Wat is het doel?
Het doel is om tanden te beschermen, pijn te verminderen, een stabiele beet te creëren en een duurzame oplossing te bereiken voor functie en uiterlijk.
Voorbereiding
Bijwerkingen & complicaties
Tijdens de behandeling
Tijdens het plaatsen van brackets, facings, kronen of implantaten kunt u druk of lichte pijn voelen. Dit is meestal tijdelijk.
Op de verpleegafdeling
Na een operatie kan er zwelling of napijn optreden. U krijgt uitleg over pijnstilling en verzorging
Na de behandeling
Na het plaatsen van een beugel, kronen of implantaten kan het tandvlees tijdelijk gevoelig zijn.
Goede mondhygiëne helpt om ontstekingen te voorkomen. Volg altijd de adviezen van uw behandelaar
Resultaat
Resultaat
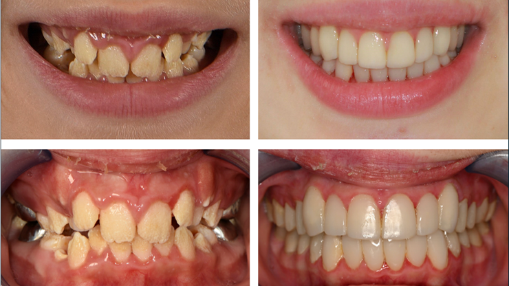
Na de behandeling zijn de tanden beter beschermd en staat het gebit stabieler. Kauwen gaat makkelijker en het uiterlijk verbetert.
Voorbeeld (kind): Een meisje van 12 jaar had gevoelige tanden en slijtage. Eerst werd een orthodontische behandeling uitgevoerd om de groei te begeleiden en ruimte te maken voor een goede beet. Daarna zijn definitieve restauraties geplaatst.

Voorbeeld (volwassene): Een man van 23 jaar had veel slijtage en kleine tanden. Eerst werd orthodontie uitgevoerd om ruimte te maken voor toekomstige restauraties. Daarna kreeg hij nieuwe kronen. Hierdoor verbeterden de functie en zijn zelfvertrouwen.

Wanneer neemt u contact op
Neem contact op wanneer:
- pijn erger wordt of niet vermindert
- het tandvlees sterk gezwollen is
- een bracket, draadje, kroon of facing losraakt
- het gebied rond een implantaat rood of pijnlijk wordt
- u koorts krijgt of zich ziek voelt
- u twijfelt of ongerust bent.
Contact
E-mail: orthodontie@erasmusmc.nl
Telefoon: (010) 703 6471
Bereikbaar: maandag t/m vrijdag van 08.30 tot 16.00 uur